OB/Gyn - Ectopic - Ruptured Cornual Ectopic Pregnancy

← Back to List

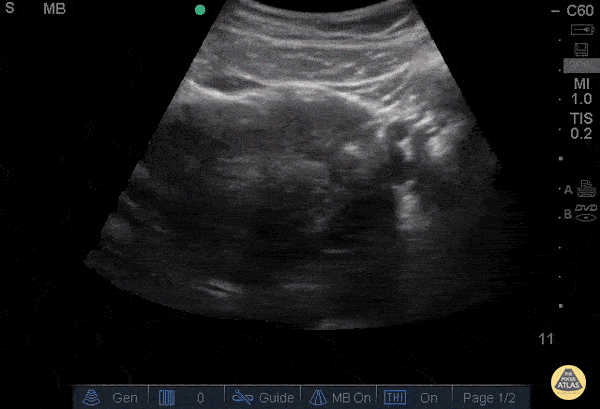
OB/Gyn - Ectopic - Ruptured Cornual Ectopic Pregnancy

Caption

29 y/o female with intermittent lower abdominal and vaginal pain and nausea x3 days. LMP 3.5 weeks prior. Transabdominal ultrasound demonstrates pregnancy in cornu of the uterus. Symptoms progressed over 24 hours and patient became hypotensive and was taken to OR for exploratory laparotomy and found to have ruptured cornual ectopic with hemoperitoneum. Stacey Frisch, MD Juliana Jaramillo, MD Stephan Rinnert, MD - Kings County/SUNY Downstate Emergency Medicine

Source

https://www.thepocusatlas.com/obgyn


Metadata