OB/Gyn - Hematocolpos

← Back to List

OB/Gyn - Hematocolpos

Caption

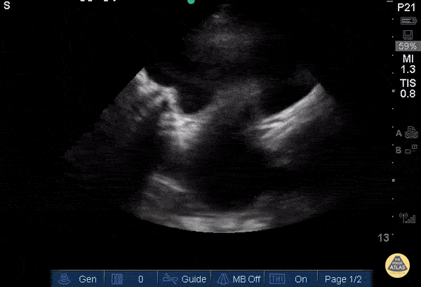
13yoF with worsening abdominal pain and back pain x3 months, found to have large bilobed pelvic mass consistent with hematocolpos/hematometra due to imperforate hymen. Transabdominal ultrasound using a 5-1MHz phased array probe in the transverse plane 2cm above pubic symphysis. A large hypoechoic structure within the uterus is seen displacing the bladder superoanteriorly with posterior acoustic enhancement. US can demonstrate retained old blood as a hypoechoic cystic structure and monitor resolution after hymenectomy. (Hassani 1978)

Source

https://www.thepocusatlas.com/obgyn


Metadata