OB/Gyn - Molar Pregnancy

← Back to List

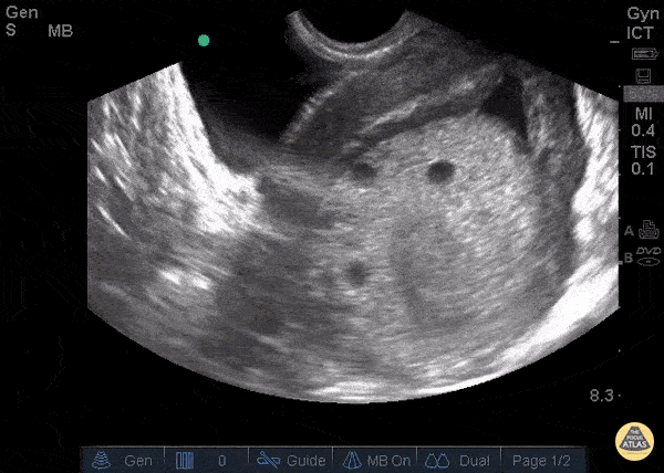
OB/Gyn - Molar Pregnancy

Caption

23 y/o F, gestational age 10 weeks by LMP referred to ER for suspicion of molar pregnancy. TV US shows hydropic vesicles within uterus, represented by anechoic regions scattered throughout a hyperechoic mass in uterine cavity. This is classically described as a “bunch of grapes” or “snowstorm pattern”. Patients diagnosed with molar pregnancy can present with vaginal bleeding or symptoms similar to hyperemesis gravidarum, making ER POCUS a useful evaluation tool that can expedite disposition. Dr. Bryan Flores, Dr. Teresa Smith - Kings County Emergency Medicine

Source

https://www.thepocusatlas.com/obgyn


Metadata