OB/Gyn - Transabdominal Uterus Transverse

← Back to List

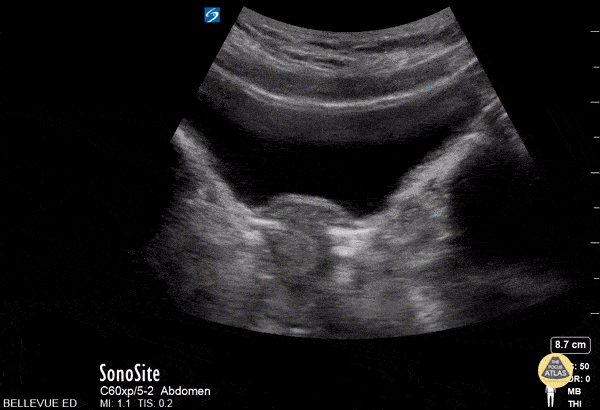
OB/Gyn - Transabdominal Uterus Transverse

Caption

This is a clip of the uterus in transverse view using the transabdominal approach. The large anechoic structure in the center is the bladder in transverse view, and immediately deep to the bladder is the round uterine fundus. As the probe fans through the uterus we see some dark shadowing within it, likely due to artifact created by an IUD. The fallopian tubes are also faintly visible bilaterally branching off the uterus.

Source

https://www.thepocusatlas.com/obgyn


Metadata