OB/Gyn - Transabdominal Right Adnexa with Ovarian Cyst

← Back to List

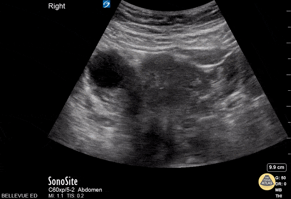
OB/Gyn - Transabdominal Right Adnexa with Ovarian Cyst

Caption

In this transabdominal view of the uterus and adnexa we see a thin walled, ovoid anechoic structure on the left side of the screen. This is a simple cyst on the right ovary. As the probe fans, the uterine fundus comes in and out of view medial to the ovary .

Source

https://www.thepocusatlas.com/obgyn


Metadata