OB/Gyn - Ruptured Ectopic With Positive Fast

← Back to List

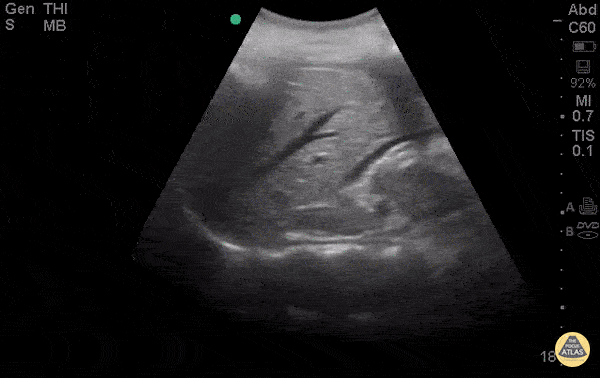
OB/Gyn - Ruptured Ectopic With Positive Fast

Caption

30 y/o F presented to ED for abdominal pain stating she had a recent miscarriage. Now she is having vaginal bleeding for the last 2 weeks. Borderline hypotensive and in severe distress due to pain. Abdomen diffusely tender with guarding. POCUS demonstrated +FAST with blood in the hepatorenal space. Remember to fan all the way to liver tip in FAST scan to fully evaluate for free fluid, it can be subtle and not simply in morrison’s pouch. The patient was rushed to OR by OBGYN for ex-lap based on this scan and was found to have ruptured tubal ectopic pregnancy. Dr. Stacey Frisch - Kings County Emergency Medicine

Source

https://www.thepocusatlas.com/obgyn


Metadata