OB/Gyn - Intrauterine Pregnancy

← Back to List

OB/Gyn - Intrauterine Pregnancy

Caption

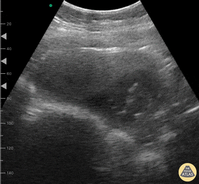
21 year old female presented to the ED reporting lower abdominal discomfort. HPI notable for absent trauma, dysuria, hematuria, constipation, and fever. Last menstrual period was 3 months prior to presentation. POCUS was faster than urine pregnancy test to clinch the diagnosis! Dr. Victor Bang. Emergency Physician at Hospital das Clínicas de Marília. Co-founder of Pocus Jedi. @vmjbang

Source

https://www.thepocusatlas.com/obgyn


Metadata