Bowel-GI - Splenic Abscess

← Back to List

Bowel-GI - Splenic Abscess

Caption

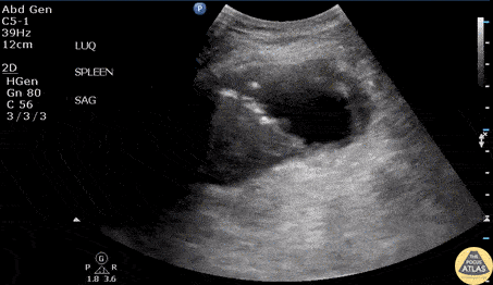
An elderly male with a history of IVDU presented to the ED with fever and abdominal pain. Vital signs reveal hypotension. RUSH examination revealed a splenic abscess viewed in the perisplenic window. Image courtesy of Robert Jones DO, FACEP @RJonesSonoEM Director, Emergency Ultrasound; MetroHealth Medical Center; Professor, Case Western Reserve Medical School, Cleveland, OH View his original post here

Source

https://www.thepocusatlas.com/bowel


Metadata