OB/Gyn - Yolk Sac

← Back to List

OB/Gyn - Yolk Sac

Caption

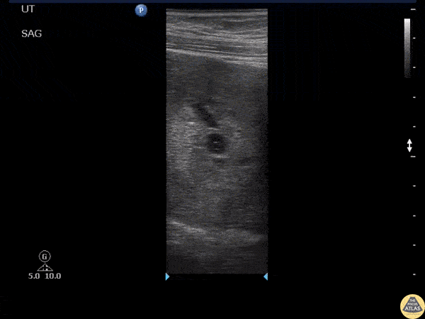
A transabdominal scan with a curvilinear probe failed to show an intrauterine yolk sac however, when using a linear probe a yolk sac became visible. Image courtesy of Robert Jones DO, FACEP @RJonesSonoEM Director, Emergency Ultrasound; MetroHealth Medical Center; Professor, Case Western Reserve Medical School, Cleveland, OH View his original post here

Source

https://www.thepocusatlas.com/obgyn


Metadata