OB/Gyn - Fetal Pole with Cardiac Motion - Sagittal
Caption
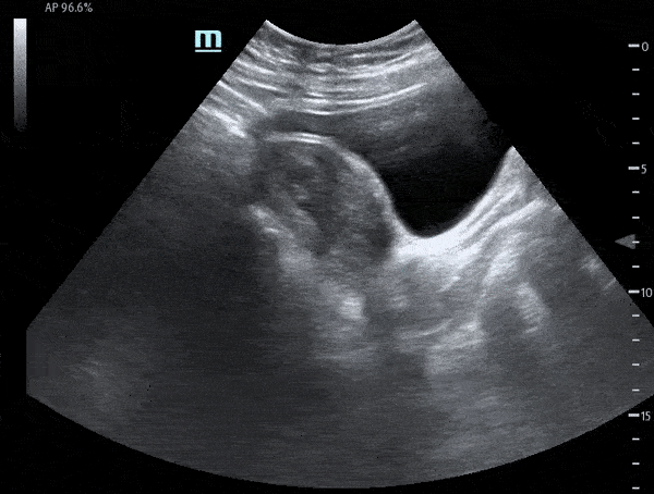
Sagittal view of uterus demonstrating fetal pole. A subtle flicker within the fetal pole can be seen consistent with cardiac motion. Michael Macias
Sagittal view of uterus demonstrating fetal pole. A subtle flicker within the fetal pole can be seen consistent with cardiac motion. Michael Macias