OB/Gyn - Ovarian Hyperstimulation Syndrome (OHSS)

← Back to List

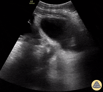
OB/Gyn - Ovarian Hyperstimulation Syndrome (OHSS)

Caption

20 y/o female s/p egg retrieval for egg donation 3 days prior presents for diffuse abdominal pain and bloating. In the clip (bladder sagittal view), you can see massive enlargement of the ovary and its multiple follicles. FAST revealed free fluid throughout the abdomen likely secondary to leakage of fluid from these follicles, a process referred to as ovarian hyperstimulation syndrome (OHSS). The patient was admitted to GYN for possible drainage. Jennifer Kaminsky, MD PGY-2; @jen_kaminskyMD Pamela Santivanez, MD PGY-1 Sean Beckman, Rocky Vista University COM OMS-4 Joshua Greenstein, MD, Director of ED Ultrasound Northwell Health - Staten Island University Hospital

Source

https://www.thepocusatlas.com/obgyn


Metadata