OB/Gyn - IUD in Sagittal Plane

← Back to List

OB/Gyn - IUD in Sagittal Plane

Caption

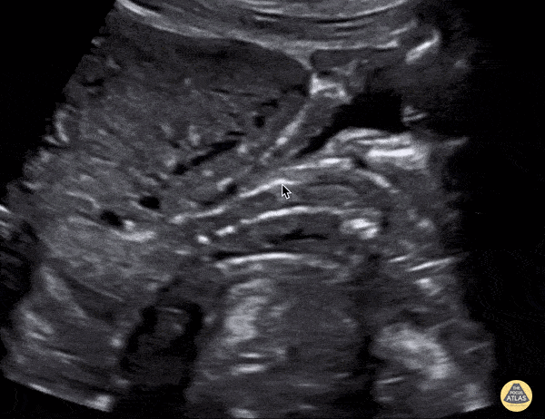
Patient came to the ED due to flank pain. Renal ultrasound was performed by me with the US team. Upon looking for the bladder, I saw my first IUD via US which appeared hyperechoic. ParaGard has been shown to be more than 99% effective. Mehtab Galeh, MD, @GalehMehtab

Source

https://www.thepocusatlas.com/obgyn


Metadata