Bowel-GI - Ruptured Appendix with Abscess Formation

← Back to List

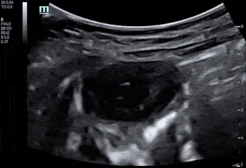
Bowel-GI - Ruptured Appendix with Abscess Formation

Caption

A 2 year old F with 1 week of fever, vomiting, diarrhea and abdominal pain presented to the emergency department. A work up was initiated including POCUS of the right lower quadrant which revealed a ruptured appendix with abscess formation. Paul Khalil, MD. Assistant PEM POCUS director at University of Louisville/Norton Children’s @khalil3paul

Source

https://www.thepocusatlas.com/bowel


Metadata