OB/Gyn - Molar Pregnancy

← Back to List

OB/Gyn - Molar Pregnancy

Caption

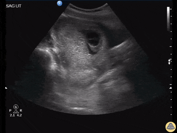
This is a saggital view of the uterus belonging to a patient who returned to the emergency department after persistent vomiting. An initial urine pregnancy test performed yielded a negative result however this patient’s ultrasound scan ultimately revealed a molar pregnancy. As Dr. Jones explains, this patient false-negative urine pregnancy test is explained by a phenomenon known as the High Dose Hook Effect. Image courtesy of Robert Jones DO, FACEP @RJonesSonoEM Director, Emergency Ultrasound; MetroHealth Medical Center; Professor, Case Western Reserve Medical School, Cleveland, OH View his original post here

Source

https://www.thepocusatlas.com/obgyn


Metadata