OB/Gyn - Ectopic Pregnancy

← Back to List

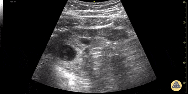
OB/Gyn - Ectopic Pregnancy

Caption

30s female currently 7 week pregnant with lower abdominal pain and tenderness to palpation to lower abdomen. POCUS showed a gestation sac containing a yolk sac and fetal pole outside of uterus. Also noted is a thickened endometrial stripe (to the right of the gestational sac). No free fluid was noted in the RUQ. The patient was taken to the OR for definitive management of ectopic pregnancy. Dimitri Livshits DO, Ultrasound Fellow, Kings County/SUNY Downstate; Jane Belyavskaya MD, Ultrasound Fellow, Kings County/SUNY Downstate; Farnam Kazi MD, Ultrasound Faculty, Kings County/SUNY Downstate;

Source

https://www.thepocusatlas.com/obgyn


Metadata