OB/Gyn - TIE Fighter Sign

← Back to List

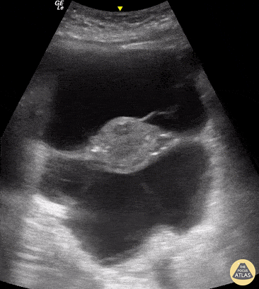
OB/Gyn - TIE Fighter Sign

Caption

A 64-year-old woman with hepatic cirrhosis presented to the emergency room with abdominal pain. The abdominal POCUS exam, in this transverse suprapubic view, revealed a large amount of ascites and a floating uterus, an image known as "TIE Fighter Sign" in reference to the famous Star Wars galactic empire ship. Renato Tambelli @R_Tambelli // @JediPocus

Source

https://www.thepocusatlas.com/obgyn


Metadata