OB/Gyn - Fetal Pole with Cardiac Activity
Caption
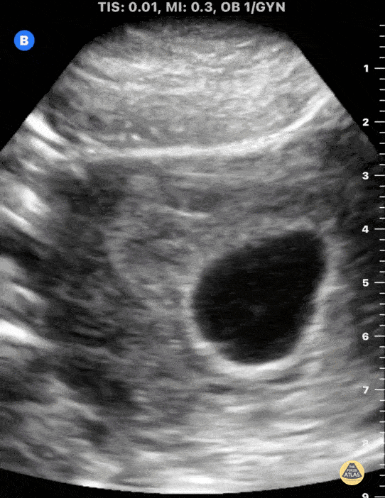
This is a transverse uterus view in early pregnancy demonstrating a a fetal pole with visualized cardiac activity. Mike Macias, MD, Emergency Physician, @emedcurious
This is a transverse uterus view in early pregnancy demonstrating a a fetal pole with visualized cardiac activity. Mike Macias, MD, Emergency Physician, @emedcurious