OB/Gyn - US Confirmation of Appropriate IUD Location
Caption
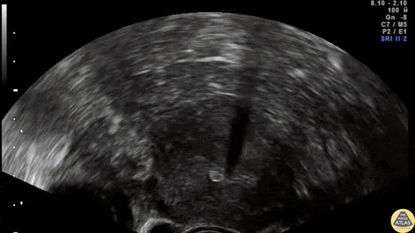
Transvaginal ultrasound showing the IUD correctly placed in both sagittal and transverse plane. Contributor: Dr. Nicolay B. Werner Akershus University Hospital, Norway
Transvaginal ultrasound showing the IUD correctly placed in both sagittal and transverse plane. Contributor: Dr. Nicolay B. Werner Akershus University Hospital, Norway