OB/Gyn - Caesarean Section Scar Ectopic Pregnancy

← Back to List

OB/Gyn - Caesarean Section Scar Ectopic Pregnancy

Caption

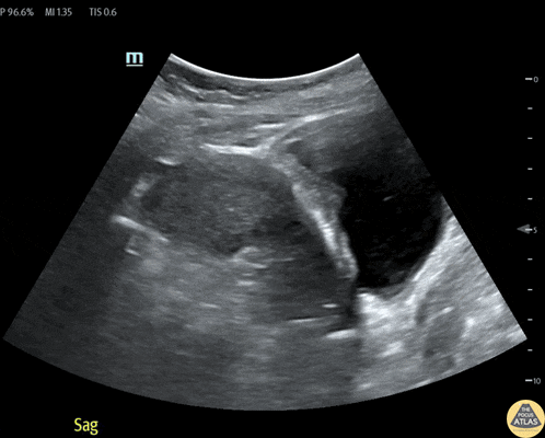
32 year old female at 8-9 weeks gestation by LMP referred to the ED for pregnancy of unknown location. She reported 1-2 weeks of mild pelvic cramping and vaginal spotting. Bedside trans-abdominal imaging demonstrated a round, heterogenous structure without a clear yolk sack or fetal pole, but with several hallmarks of caesarean scar ectopic pregnancy: position in the anterior uterine wall; in the lower (closer to the cervix) half of the uterus; bulging into the neighboring bladder; with thin interposed myometrium. After confirmatory formal ultrasound, she was admitted for methotrexate termination, which proved successful. Contributors: Nicholas Maurer, MD, MPH (PGY-1); Megan Chenworth (PGY-3) Emergency Medicine, Northwestern McGaw Medical Center

Source

https://www.thepocusatlas.com/obgyn


Metadata