OB/Gyn - Partial Molar Pregnancy Transverse

← Back to List

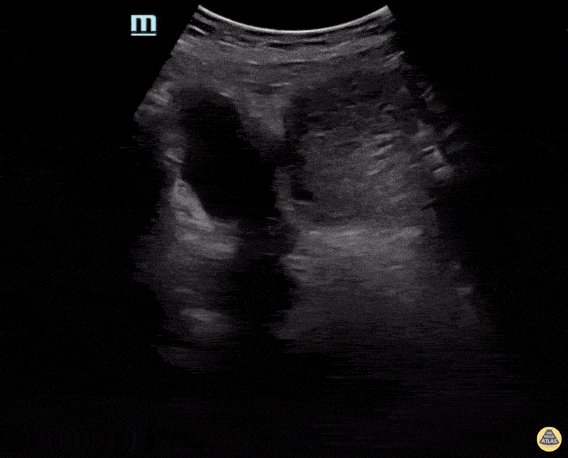
OB/Gyn - Partial Molar Pregnancy Transverse

Caption

Patient was having significant nausea and vomiting and went to her local ER. While there her beta HCG was much higher than expected at her gestational age. Ultrasound shows a large amount of heterogeneous material with possible gestational sac. Confirmed after D&C. Michael Bernard, DO

Source

https://www.thepocusatlas.com/obgyn


Metadata