OB/Gyn - Biparietal diameter (BPD) measurement in a 26-week pregnancy.

← Back to List

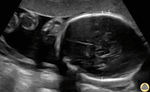
OB/Gyn - Biparietal diameter (BPD) measurement in a 26-week pregnancy.

Caption

BPD should be measured in the axial plane, perpendicular to the falx cerebri, and from the outer edge of the near calvarial wall to the inner edge of the far calvarial wall. Contributors: Stephen Holihan (MD); Dillon Nerland (MD); Madison Waddell (MS4)

Source

https://www.thepocusatlas.com/obgyn


Metadata