OB/Gyn - Dichorionic Diamniotic Twin Intrauterine Pregnancy

← Back to List

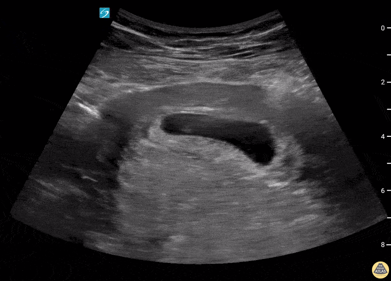
OB/Gyn - Dichorionic Diamniotic Twin Intrauterine Pregnancy

Caption

A 27-year-old female presented for evaluation of cough, congestion, decreased appetite, muscle aches, and fatigue. Patient was unsure of the date of her last menstrual period. This image is a transabdominal ultrasound of the uterus demonstrating a dichorionic diamniotic twin intrauterine pregnancy. The pregnancy was dated at approximately 8 weeks and 2 days, with fetal heart rates of 167 bpm and 174 bpm. Arthur Sieron BMBS, PGY-1 Emergency Medicine, Central Michigan University; Eric Spencer DO, PGY-3 Emergency Medicine, Central Michigan University; Halimah Hamidu, MS4 Central Michigan University College of Medicine.

Source

https://www.thepocusatlas.com/obgyn


Metadata