Biliary - Gallbladder and Commmon Bile Duct - Colorized

← Back to List

Biliary - Gallbladder and Commmon Bile Duct - Colorized

Caption

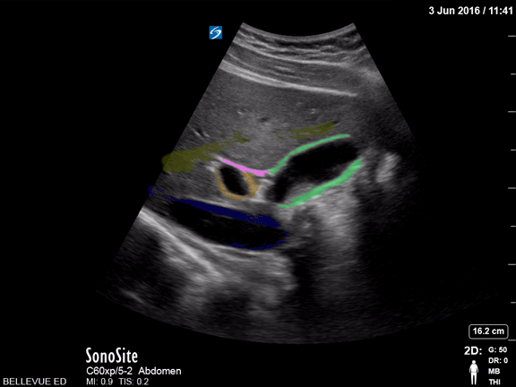
Gallbladder and Common Bile Duct Green: Gallbladder, Blue: IVC, Orange: Portal vein, Pink: Common bile duct, Yellow: Lumen of hepatic vein Images: Dr. Lindsay Davis, Dr. Hannah Kopinski. Image Editing: Michael Amador and Dr. Matthew Riscinti

Source

https://www.thepocusatlas.com/hepatobiliary


Metadata