Biliary - Contracted Gallbladder - Colorized
Caption
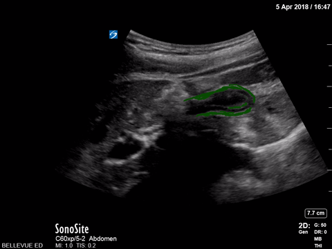
Contracted Gallbladder Green- Gallbladder Images: Dr. Lindsay Davis, Dr. Hannah Kopinski. Image Editing: Michael Amador and Dr. Matthew Riscinti
Contracted Gallbladder Green- Gallbladder Images: Dr. Lindsay Davis, Dr. Hannah Kopinski. Image Editing: Michael Amador and Dr. Matthew Riscinti