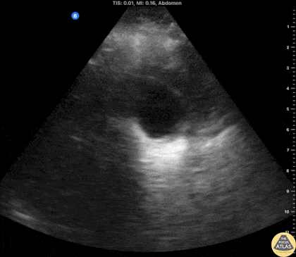
Biliary - Impacted Gallbladder Neck Stone

← Back to List

Biliary - Impacted Gallbladder Neck Stone

Caption

20s F presented with recurrent postprandial RUQ pain. POCUS demonstrated multiple hyperechoic stones in the gallbladder including one in the gallbladder neck. No pericholecystic fluid or wall thickening were noted, and the common bile duct was normal caliber. Formal RUQ US confirmed these findings, and the patient was taken to the OR by the surgery team for cholecystectomy. Dr. Nhu-Nguyen Le, Ultrasound Fellow Denver Health Ultrasound Fellowship

Source

https://www.thepocusatlas.com/hepatobiliary


Metadata