Biliary - Pancreatic Pseudocyst

← Back to List

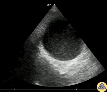
Biliary - Pancreatic Pseudocyst

Caption

40s F PMH severe ETOH use disorder and ETOH pancreatitis as well as recent COVID diagnosis presented with continued dyspnea and sore throat as well as abdominal bloating with a 15-20lb weight loss in 2 months. POCUS of the upper abdomen is shown here, demonstrating a large pseudocyst, which was confirmed on CT. The patient was admitted for her symptoms and was seen by GI but ultimately was planned for outpatient drainage rather than urgent/emergent. Dr. Nimish Bhatt, Ultrasound Fellow Denver Health Ultrasound Fellowship

Source

https://www.thepocusatlas.com/hepatobiliary


Metadata