Bowel-GI - Intra-abdominal Abscess

← Back to List

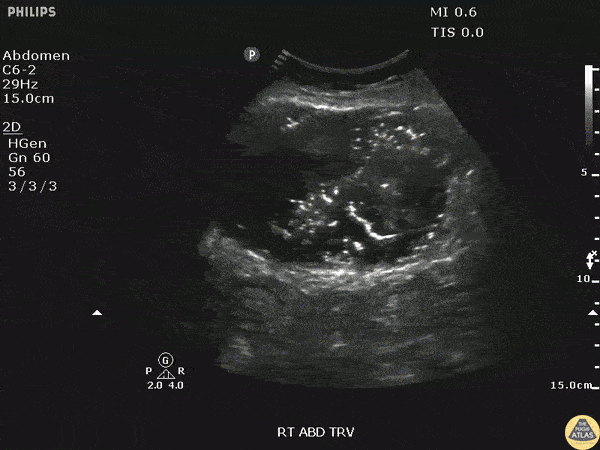
Bowel-GI - Intra-abdominal Abscess

Caption

A middle aged female with a history of Crohns disease presented to the ED with fever, hypotension, and abdominal pain. Bedside ultrasound revealed an intra-abdominal abscess in the RUQ. Image courtesy of Robert Jones DO, FACEP @RJonesSonoEM Director, Emergency Ultrasound; MetroHealth Medical Center; Professor, Case Western Reserve Medical School, Cleveland, OH View his original post here

Source

https://www.thepocusatlas.com/bowel


Metadata