Biliary - Contracted Gallbladder

← Back to List

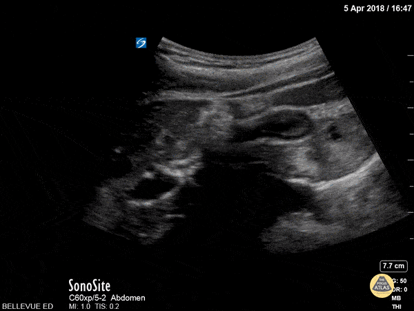
Biliary - Contracted Gallbladder

Caption

In this clip, the gallbladder (center right of the screen) appears collapsed and the wall looks thickened. This is the normal appearance of a postprandial gallbladder which is contracted because it has just released its bile content into the duodenum for digestion of a meal. Hannah Kopinksi and Dr. Lindsay Davis - NYU Emergency Medicine

Source

https://www.thepocusatlas.com/hepatobiliary


Metadata