Biliary - Wall Echo Shadow

← Back to List

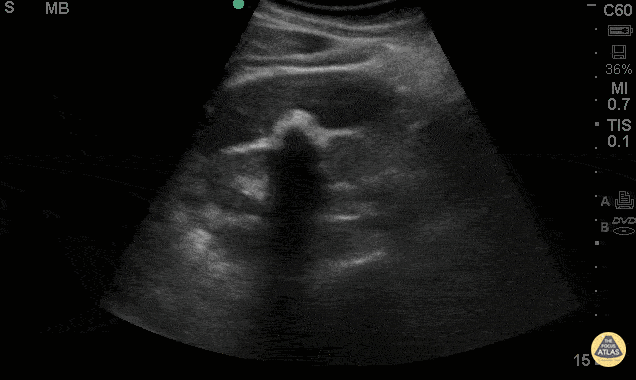
Biliary - Wall Echo Shadow

Caption

38 y/o F presented with abdominal pain, nausea & vomiting. POCUS shows the WES (Wall-Echo-Shadow) sign. This shows a curvelinear hyperechoic line representing the gallbladder wall, followed by a thin hypoechoic line representing a small amount of bile, then a curvelinear hyperechoic line, followed by acoustic shadowing. This sign is seen when the gallbladder has either a large gallstone or multiple small gallstones in a contracted gallbladder taking up the extent of the lumen. Sometimes this sign is misinterpreted as an air filled loop of adjacent bowel. Jaramillo, Juliana MD; Shah, Rushabh MD; Maurelus, Kelly MD - Kings County Emergency Medicine

Source

https://www.thepocusatlas.com/hepatobiliary


Metadata