Biliary - Free Fluid around Normal Gallbladder

← Back to List

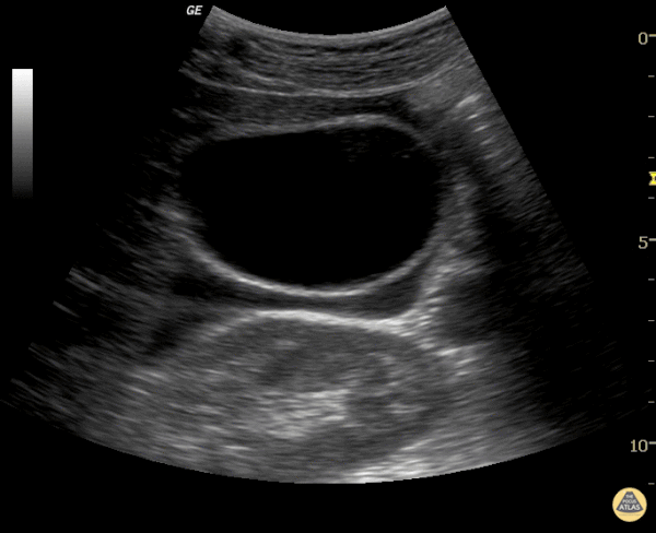
Biliary - Free Fluid around Normal Gallbladder

Caption

There is a lot of pericholecystic fluid surrounding this gallbladder but no other signs of inflammation. The gallbladder wall is normal, there are no stones, and there is no sonographic Murphy's sign. The free fluid is likely from another source, not acute cholecystitis. Justin Bowra MBBS, FACEM, CCPU Emergency Physician, RNSH et al.

Source

https://www.thepocusatlas.com/hepatobiliary


Metadata