Biliary - Pericholecystic Fluid - Long

← Back to List

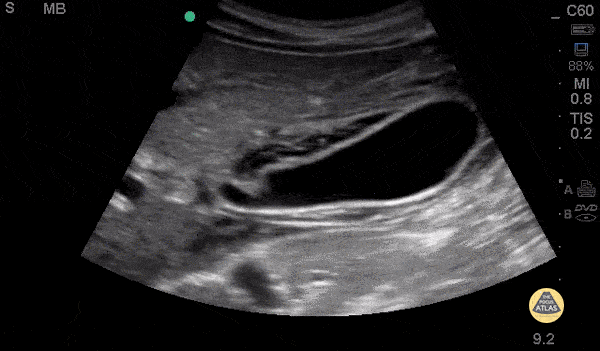
Biliary - Pericholecystic Fluid - Long

Caption

26 y/o F PMH HIV presents with non-bloody, non-bilious vomiting for one day associated with upper abdominal pain. POCUS revealed gallbladder wall thickening and pericholecystic fluid, but no gallstones or sonographic Murphy’s sign. The patient received symptomatic treatment and a surgical evaluation. The patient ultimately improved and was determined to not have cholecystitis. The patient was discharged home after her symptoms resolved and she was able to tolerate PO. Dr. Guru Shan, Dr. Guy Carmelli, Dr. Scott Kendal - Kings County Emergency Medicine

Source

https://www.thepocusatlas.com/hepatobiliary


Metadata