Biliary - Portal Triad
Caption
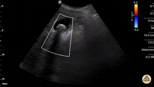
Gallbladder with non-obstructing stone. Fanning down one sees the portal triad with bile duct (black) 7 mm, hepatic artery (pulsitile) and portal vein (red). Dr. Gordon Johnson
Gallbladder with non-obstructing stone. Fanning down one sees the portal triad with bile duct (black) 7 mm, hepatic artery (pulsitile) and portal vein (red). Dr. Gordon Johnson