Bowel-GI - Pancreatic Pseudocyst

← Back to List

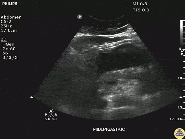
Bowel-GI - Pancreatic Pseudocyst

Caption

An elderly male with abdominal pain, hypotension and a palpable abdominal mass. POCUS revealed a normal sized pulsatile aorta with a large pancreatic pseudocyst. Image courtesy of Robert Jones DO, FACEP @RJonesSonoEM Director, Emergency Ultrasound; MetroHealth Medical Center; Professor, Case Western Reserve Medical School, Cleveland, OH View his original post here

Source

https://www.thepocusatlas.com/bowel


Metadata