Biliary - Gallbladder Wall Echo Shadow (WES Sign)
Caption
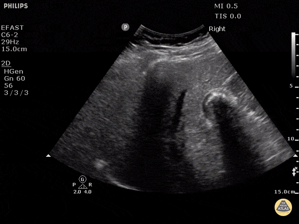
Gallstones can be seen on the right side of the image with a hyperechoic front edge and posterior shadowing. Justin Bowra MBBS, FACEM, CCPU Emergency Physician, RNSH et al.
Gallstones can be seen on the right side of the image with a hyperechoic front edge and posterior shadowing. Justin Bowra MBBS, FACEM, CCPU Emergency Physician, RNSH et al.