Biliary - Ruptured Viscus from Trauma

← Back to List

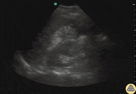
Biliary - Ruptured Viscus from Trauma

Caption

Pt stuck by car while riding bike. Perihepatic view on FAST exam revealed a perforated viscus (gastric rupture). Note the free air within the fluid. Image courtesy of Robert Jones DO, FACEP @RJonesSonoEM Director, Emergency Ultrasound; MetroHealth Medical Center; Professor, Case Western Reserve Medical School, Cleveland, OH View his original post here

Source

https://www.thepocusatlas.com/hepatobiliary


Metadata