Biliary - Gallbladder Sludge

← Back to List

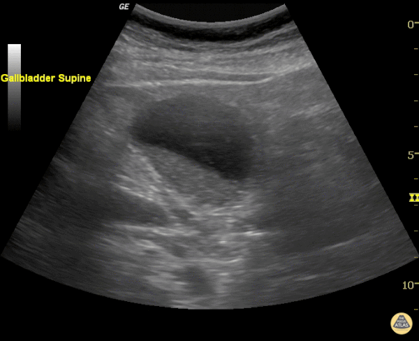
Biliary - Gallbladder Sludge

Caption

Echogenic material can be seen within this gallbladder but there are no stones. It is not bright white (it is not highly echogenic) and furthermore there isn't any shadowing. When there is no shadowing consider polyps or in this case biliary sludge. Justin Bowra MBBS, FACEM, CCPU Emergency Physician, RNSH et al. (Sharon)

Source

https://www.thepocusatlas.com/hepatobiliary


Metadata