Biliary - Gallbladder with Biliary Sludge

← Back to List

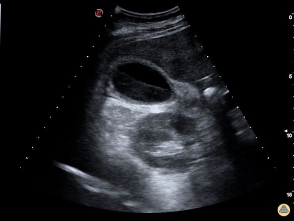
Biliary - Gallbladder with Biliary Sludge

Caption

The image above is from a patient presenting to the emergency department with recurrent abdominal pain. The image demonstrates a large amount of biliary sludge within a normal sized gallbladder. Biliary colic from intermittent obstruction was suspected. While the gallbladder wall is noted to be mildly thick here, cholecystitis was ruled out based on other clinical factors. Marco Garrone, MD - Torino, Italy

Source

https://www.thepocusatlas.com/hepatobiliary


Metadata