Biliary - Gallbladder Wall Measurement

← Back to List

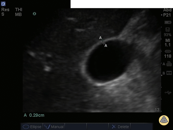
Biliary - Gallbladder Wall Measurement

Caption

This normal gallbladder image shows how to measure the anterior wall of the gallbladder. A normal gallbladder wall should be less than 3mm. The posterior wall should not be measured as it can appear enlarged due to artifact. Justin Bowra MBBS, FACEM, CCPU Emergency Physician, RNSH et al.

Source

https://www.thepocusatlas.com/hepatobiliary


Metadata