Biliary - Dilated Common Bile Duct

← Back to List

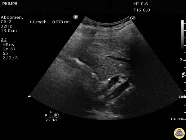
Biliary - Dilated Common Bile Duct

Caption

This patient has a dilated common bile duct and obstructive pattern LFTs, highly suggestive of choledocholithiasis or other biliary obstruction. No stone is visualized on this study. A normal common bile duct should be <4mm plus 1mm per decade after 40 years of age. Here it is 9.78 mm. POCUS is highly sensitive for acute cholecystitis but as many people already know, it can be hard to find the CBD, which is reflected in the lower sensitivity and specificity for this indication in many studies. Justin Bowra MBBS, FACEM, CCPU Emergency Physician, RNSH et al. (Dr. Ken Lee)

Source

https://www.thepocusatlas.com/hepatobiliary


Metadata