Biliary - Dilated Common Bile Duct

← Back to List

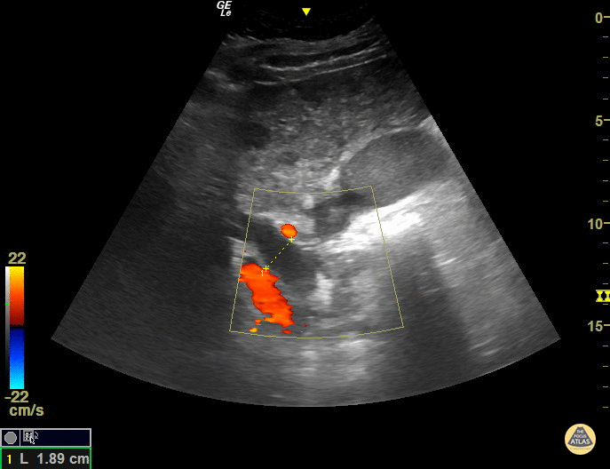
Biliary - Dilated Common Bile Duct

Caption

The CBD measures at 1.89cm indicating it is grossly dilated, as a normal common bile duct should be <4mm plus 1mm per decade after 40 years of age. It should be measured from inner wall to inner wall. The color doppler is used to ensure that the dilated structure is indeed a bile duct rather than a vascular abnormality. Sukh Singh, MD

Source

https://www.thepocusatlas.com/hepatobiliary


Metadata