Biliary - Choledocholithiasis - Dilated Common Bile Duct with Stone

← Back to List

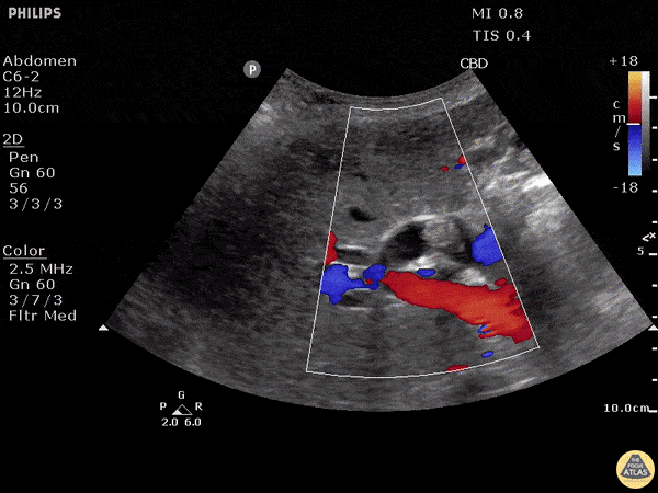
Biliary - Choledocholithiasis - Dilated Common Bile Duct with Stone

Caption

A normal common bile duct should be < 4mm plus 1mm per decade after 40 years of age. A stone can clearly be seen in the area of color flow doppler. The bile duct is obviously dilated here (although not measured). When searching for the CBD, it can be useful to turn color flow doppler on to ensure you're visualizing a biliary structure and not vessels. This technique was employed here. POCUS is highly sensitive for acute cholecystitis but as many people already know, it can be hard to find the CBD, which is reflected in the lower sensitivity and specificity for this indication in many studies. Justin Bowra MBBS, FACEM, CCPU Emergency Physician, RNSH et al. (Dr. Dop Ahilan)

Source

https://www.thepocusatlas.com/hepatobiliary


Metadata