Biliary - Cholecystitis - Emphysematous

← Back to List

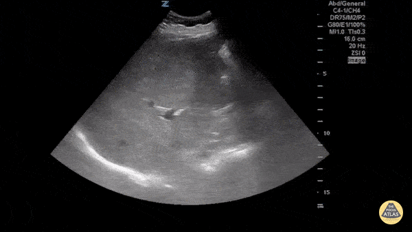
Biliary - Cholecystitis - Emphysematous

Caption

Emphysematous cholecystitis is the result of gas formation within the wall or lumen of the gallbladder as a result of infection by a gas forming organism. It is a surgical emergency. The air in the gallbladder appears highly echogenic with mild posterior shadowing, as air next to tissue is highly reflective. Sukh Singh, MD

Source

https://www.thepocusatlas.com/hepatobiliary


Metadata