Biliary - Cholecystitis with Obstructing Stone

← Back to List

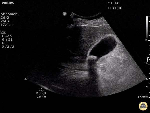
Biliary - Cholecystitis with Obstructing Stone

Caption

This clearly demonstrates a stone in the gallbladder neck as a hyperechoic structure with posterior shadowing. The neck is not always clearly visualized on first glance so it is important to scan through the gallbladder in two planes to exclude stones in the neck. Other signs of acute cholecystitis include pericholecystic fluid, gallbladder wall thickening (>3mm) common bile duct dilatation, and positive sonographic Murphy's sign. Justin Bowra MBBS, FACEM, CCPU Emergency Physician, RNSH et al. (Mo)

Source

https://www.thepocusatlas.com/hepatobiliary


Metadata