Biliary - Cholelithiasis - Neck Stones

← Back to List

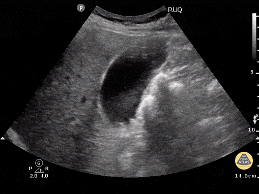
Biliary - Cholelithiasis - Neck Stones

Caption

This patient w/o cholecystitis clearly demonstrates cholelithiasis. A 2002 study showed that ER doctors can diagnose gallstones with a sensitivity of 88% and specificity 96% with POCUS. Gallstones can be identified by hypoechoic "shadowing" behind hyperechoic stones. If there isn't shadowing, hyperechoic structures could represent polyps or sludge. In this image the stones are resting mainly in the neck of the gallbladder. Kendall JL, Shimp RJ. Performance and interpretation of focused right upper quadrant ultrasound by emergency physicians. J Emerg. Med. 2001; 21(1):7-13 Submitted by Justin Bowra MBBS, FACEM, CCPU Emergency Physician, RNSH et al.

Source

https://www.thepocusatlas.com/hepatobiliary


Metadata