Biliary - Cholelithiasis with Many Stones

← Back to List

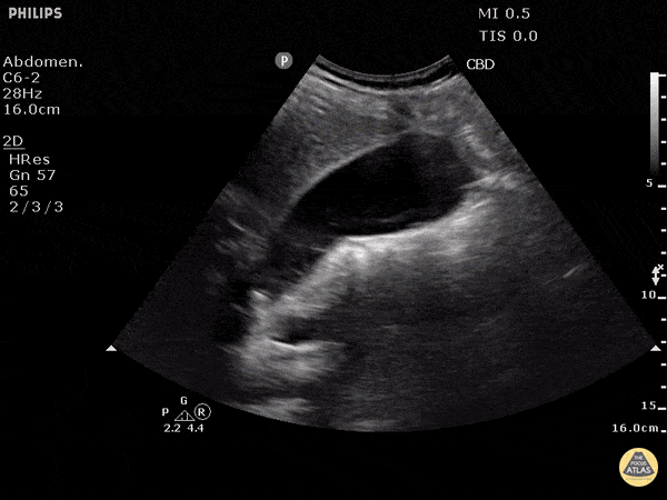
Biliary - Cholelithiasis with Many Stones

Caption

This non-inflamed gallbladder contains many stones. The stones are hyperechoic with posterior shadowing. The gallbladder wall is not thickened, there is no pericholecystic fluid, and no sonographic Murphy's sign, thus cholecystitis is unlikely. Justin Bowra MBBS, FACEM, CCPU Emergency Physician, RNSH et al. (Dr. Ken Lee)

Source

https://www.thepocusatlas.com/hepatobiliary


Metadata