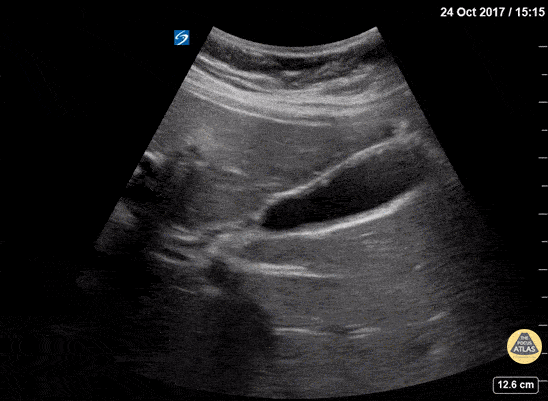
Biliary - Adenomyomatosis

← Back to List

Biliary - Adenomyomatosis

Caption

Adenomyomatosis is a generally benign condition characterized by diffuse thickening of the gallbladder wall and intramural diverticula. On ultrasound it creates comet tail artifacts (reverberation artifacts that appear as tiny echogenic beams) originating from distinct locations on the gallbladder wall. This is often seen in asymptomatic patients; however it can be associated with chronic inflammation from gallstones and pancreatitis. Dr. Lindsay Davis - NYU/Bellevue Department of Emergency Medicine

Source

https://www.thepocusatlas.com/hepatobiliary


Metadata