Biliary - Pneumobilia

← Back to List

Biliary - Pneumobilia

Caption

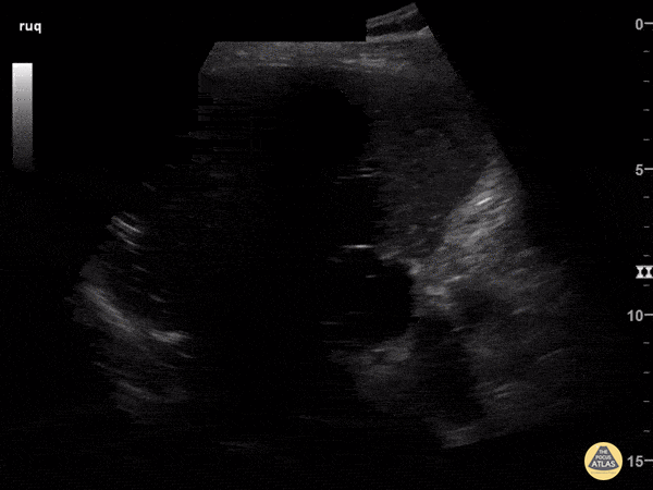
82-year-old male with history of recurrent cholangitis presenting to the ED with abdominal pain. US imaging of the RUQ reveals presence of pneumobilia. Click here to read the full caption. Andrew Morris, M.D. Gaurav Patel, M.D. Vu Huy Tran, M.D. - Aventura Hospital & Medical Center, Emergency Medicine Program

Source

https://www.thepocusatlas.com/hepatobiliary


Metadata