Biliary - Gallstone Stuck in GB Neck with Shadowing

← Back to List

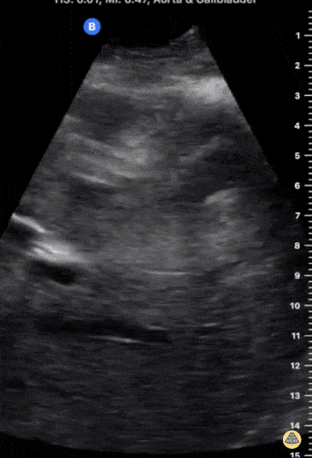
Biliary - Gallstone Stuck in GB Neck with Shadowing

Caption

This image demonstrates a large gallstone lodged in the neck of a distended gallbladder with posterior shadowing. There is no evidence of gallbladder wall thickening seen here. Jonny Wilkinson, Consultant in ICU and Anesthesia https://criticalcarenorthampton.com

Source

https://www.thepocusatlas.com/hepatobiliary


Metadata