Bowel-GI - SBO with "To-and-Fro"

← Back to List

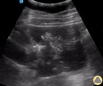
Bowel-GI - SBO with "To-and-Fro"

Caption

A 58-year-old female with multiple prior abdominal surgeries presented with a 2-day hx of abdominal pain and N/V. ROS also notable for anorexia and constipation. Abdominal POCUS seen here revealed dilated bowel loops with thickened and hyperechoic bowel walls. “To-and-fro” movements of the bowel contents are also appreciated. This occurs as a consequence of increased intestinal contents and peristalsis, otherwise known as dysfunctional peristalsis. All of the aforementioned are consistent with a diagnosis of SBO. When there is high clinical suspicion of SBO, POCUS can serve as an inexpensive and rapid adjunct for clinical evaluation, expediting time to disposition. Dr. Samantha Wong, @esayemDO EM Resident. Central Michigan University

Source

https://www.thepocusatlas.com/bowel


Metadata