Biliary - Angry gallbladder

← Back to List

Biliary - Angry gallbladder

Caption

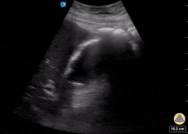
A patient presented with altered mental status and anorexia; clinically he had findings consistent with sepsis. POCUS revealed one angry gallbladder! You can appreciate gallbladder wall thickening (measuring 6mm), trace pericholecystic fluid, and shadowing from gallbladder sludge. Garrett Ghent, Resuscitationst and diagnostician; Norfolk, VA @garrettghentMD

Source

https://www.thepocusatlas.com/hepatobiliary


Metadata